Translate this page into:
Hereditary angioedema in twins – Identification of a novel variant of the SERPING1 gene mutation in twins
*Corresponding author: Jeta Buch, Department of Dermatology, Smt. NHL Municipal Medical College, Ahmedabad, Gujarat, India. jetabuch@gmail.com
-
Received: ,
Accepted: ,
How to cite this article: Rathod S, Jagati A, Buch J, Patel D. Hereditary angioedema in twins – Identification of novel variant of SERPING1 gene mutation in twins. J Intgr Stand Homoeopathy. doi: 10.25259/IJSA_57_2025
Abstract
Hereditary angioedema is an inherited condition marked by recurrent, non-pitting swelling of subcutaneous tissues, abdominal pain episodes, and occasional airway involvement that may become life-threatening. The majority of affected individuals carry disease-causing alterations in the Serpin Family G Member 1 (SERPING 1) gene. Mutation in other genes contributes to a small number of cases. Because the condition is uncommon, it is frequently overlooked in early stages, and episodes are often treated as allergic angioedema using corticosteroids and antihistamines. Confirmation of diagnosis for appropriate genetic counseling of trigger avoidance and guidance regarding measures to tackle edematous attacks. We report a case of 11-year-old twins presenting with swelling of the face, positive family history, and similar complaints and a heterozygous mutation in the SERPING1 gene successfully managed with systemic tranexamic acid.
Keywords
Hereditary angioedema
SERPING1
Twins
INTRODUCTION
Hereditary angioedema (HAE) is an uncommon autosomal dominant disease characterized by mutations in the Serpin Family G Member 1 (SERPING 1) gene, located on chromosome 11, and consists of eight exons.[1,2] SERPING1 gene encodes for C1 esterase inhibitor (C1-INH). There are two types of HAE based on the qualitative and quantitative effects of C1-INH. Type 1 HAE has deficient C1-INH, while Type 2 has dysfunctional C1-INH.[2] HAE clinically manifests as episodic non-pitting and non-pruritic subcutaneous edema chiefly affecting the face.[1] Individual episodes may last 48–72 hour but may persist for up to a week.[3] Positive family history and equal frequency of facial and peripheral cutaneous involvement should raise suspicion of HAE.[3]
CASE REPORT
Eleven-year-old dizygotic twin brother and sister were presented simultaneously with complaints of swelling around the eyes and lips that lasted for 7–8 hours. There was a history of similar complaints at 5 years of age in the male child and 4 years of age in the female child. Positive family history of similar complaints present in the father and elder brother [Figure 1a]. Examination revealed that there was diffuse, ill-defined, non-pitting, asymmetrical swelling over the periorbital region, both cheeks, and lips without itching [Figures 1b and c]. There was no lymphadenopathy. There was no association with any particular diet, insect bite, or trauma at that site. Baseline investigations were normal. Evaluation for HAE was considered and low C4 and C1 esterase inhibitor were highly suggestive of HAE in the twin brother [Table 1]. To confirm the diagnosis of HAE, whole-exome sequencing was performed, followed by Sanger sequencing in the siblings. A heterozygous mutation in the SERPING1 gene was detected. All three siblings were put on tranexamic acid 250 mg twice daily.[3] They showed excellent response to the medication and at the time of manuscript preparation, they have been on regular follow-up for 1 year without recurrence of angioedema.
| Marker | Value |
|---|---|
| C1 esterase inhibitor | 0.1120 g/L (0.21–0.39) |
| C4 level | 5.05 mg/dL (15–45) |
| C3 level | 158 mg/dL (88–201) |
| ANA by IF | Negative |
ANA: Antinuclear antibody, IF: Immunofluorescence

- (a) Pedigree of family (b and c) 11-year-old dizygotic twins with hereditary angioedema showing ill-defined swelling over eyelids and lips.
Laboratory investigations
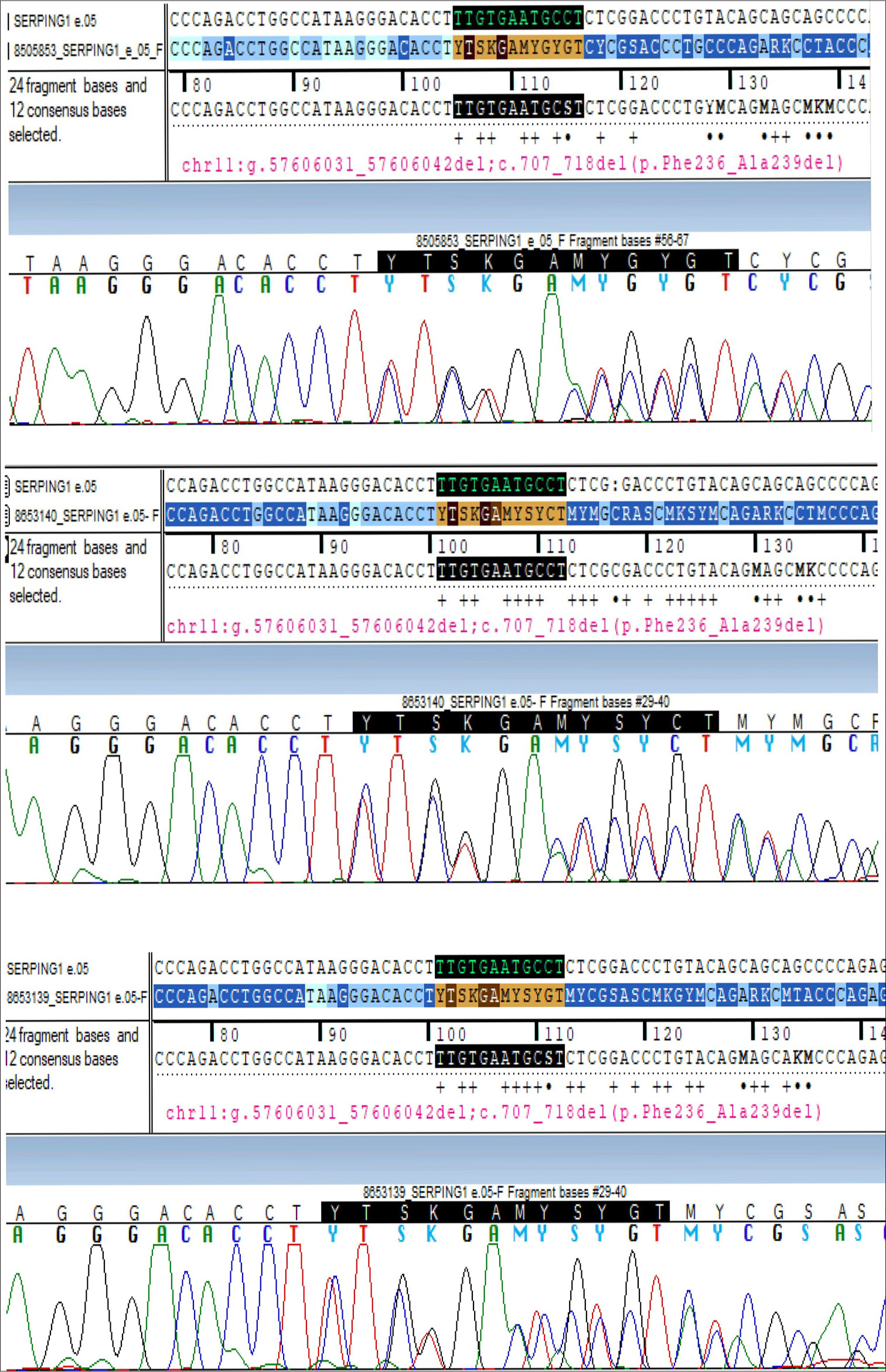
Whole-exome sequencing was carried out on the index case. Two milliliters of peripheral blood were drawn from the index case after they gave informed consent. DNA extracted from blood was used to perform targeted gene capture using a custom capture kit. Genetic testing identified a heterozygous 12-bp deletion in exon 5 of SERPING1 (chr11:g.57606031_57606042del; Depth:101x), leading to an in-frame loss of amino acids phenylalanine through alanine at positions 236 and 239 (p.Phe236_Ala239del; ENST00000278407.9). The variant is not documented in the 1000 Genomes Project, gnomAD (v3.1 and v2.1), TOPMed, or in our institutional variant repositories. Computational assessment using MutationTaster2 indicates a pathogenic impact. The genomic region involved shows conservation among primate species. Sanger sequencing of the twin sister and elder brother was done and an identical mutation was present in the heterozygous condition in the symptomatic siblings of the index patient [Figure 2].

- Whole-exome sequencing of the index case and sanger sequencing of the siblings showed a heterozygous 12-base pair deletion in exon 5 of the SERPING1 gene (chr11:g.57606031_57606042del; Depth:101x). IV: Intra venous, FFP: Fresh frozen plasma, SC: Sub cutaneous, C1-INH: C1 esterase inhibitor, FDA: Food and drug administration, HAE: Hereditary angioedema
DISCUSSION
HAE is an uncommon immunologic disorder that can cause recurrent swelling episodes and may become dangerous when the airway is involved. The onset, frequency, severity, and duration of attacks vary among individuals of the same family and in an individual patient over time. [4] It is interesting to note in our report that both twins developed the symptoms simultaneously. Although previously believed to be a monogenic disorder, lately it is postulated that other cofactors influence the clinical expression of HAE, and multiple genes play a role.[4]
C1-INH-related HAE comprises two main forms: One with reduced production of C1-INH (Type 1) and another where the protein is present but functionally ineffective (Type 2). Type 1 predominantly results from variants that impair protein synthesis or secretion, whereas Type 2 involves structurally altered C1-INH with poor functional activity. Several other genes, such as coagulation factor XII (F12), plasminogen(PLG), angiopoietin-1 (ANGPT1), kininogen-1 (KNG1), myoferlin (MYOF), and heparan sulfate glucosamine 3-sulfotransferase 6 (HS3ST6), have been linked to HAE with normal C1-INH, typically affecting pathways that enhance bradykinin formation. Acquired angioedema has an older age of onset, that is, the 4th or 5th decades of life. Drugs, autoimmune disorders, and B-cell lymphoproliferative disorders are implicated to play a causal role. Histamine plays a role in acquired angioedema, whereas bradykinin mediates recurrent episodes of swelling in HAE.[5] In a clinically suspected case of HAE, that is, (1) episodic non-pruritic angioedema without urticaria with or without suggestive family history, (2) recurrent abdominal pain without definite cause, (3) family member diagnosed to be have HAE, following test should be done (1) C4, (2) C1-INH levels, and (3) functional C1-INH.[6] The diagnostic algorithm is given in Table 2.
| Complement and enzyme assay | Type 1 HAE | Type 2 HAE | Type 3 HAE with normal C1-INH | Acquired angioedema | ACEI induced angioedema |
|---|---|---|---|---|---|
| Antigenic C1-INH | Low | Normal-high | Normal | Low-normal | Normal |
| Functional C1-INH | Low | Low | Normal | Low-normal | Normal |
| C4 | Low | Low | Normal | Low | Normal |
| C1q | Normal | Normal | Normal | Low | Normal |
HAE: Hereditary angioedema, ACEI: Angiotensin-converting enzyme inhibitors
C1-INH deficiency or dysfunction inhibiting serine proteases is a crucial enzyme involved in the complement-mediated coagulation cascade. This increases bradykinin production, leading to increased vascular permeability and edema.
The first attack usually occurs in children before 12 years of age in 50% of cases.[2] Erythema marginatum may occur in 42–58% cases and may precede a disease flare.[5] Early onset leads to a more severe course in Type 1 or 2 HAE. Increased severity and frequency of episodes may occur during puberty and adolescence. A smaller airway diameter causes rapid asphyxia in children.[2]
The principles of treatment are as follows: Management of individual episodes, short-term prophylaxis, and long-term prophylaxis.[2] Acute attacks are triggered by infection, trauma, stress, and procedures in 40% cases. Angiotensin-converting enzyme inhibitors and estrogens are among other triggers. The only recommended treatment for an acute episode of HAE in children is C1-INH concentrate, icatibant, and ecallantide. Although expensive, C1-INH therapy is now accessible to Indian patients under the national policy for rare diseases funded by the government of India.[2] In resource-poor settings, fresh frozen plasma can be used instead. For long-term prophylaxis, attenuated androgens (danazol or stanozolol) or fibrinolytic agents (tranexamic acid) are used. However, attenuated androgens are suggested to be avoided in children as side effects are frequent and severe. They are also contraindicated during pregnancy.[6] The treatment algorithm for acute attack, short-term prophylaxis, and chronic prophylaxis is shown in [Figure 3].
![Treatment algorithm for acute attack, short-term prophylaxis, and long-term prophylaxis in hereditary angioedema. Developed from information in references.[2,8] IV: Intra venous, FFP: Fresh frozen plasma, SC: Sub cutaneous, C1-INH: C1 esterase inhibitor, FDA: Food and drug administration, HAE: Hereditary angioedema](/content/135/2026/0/1/img/IJSA-57-2025-g003.png)
- Treatment algorithm for acute attack, short-term prophylaxis, and long-term prophylaxis in hereditary angioedema. Developed from information in references.[2,8] IV: Intra venous, FFP: Fresh frozen plasma, SC: Sub cutaneous, C1-INH: C1 esterase inhibitor, FDA: Food and drug administration, HAE: Hereditary angioedema
Due to its effect on inhibition of plasminogen activation and ease of availability, tranexamic acid is given for acute attacks in a dose of 12–25 mg/kg in mild HAE.[3] It can also be used prophylactically, 5 days before and after surgery, in the same dose in patients with HAE. Literature describes 1.5 g as the maximum permissible dose.[7]
Currently approved drugs for HAE include plasma-derived C1-INH, recombinant human C1-INH, icatibant, ecallantide, lanadelumab, and berotralstat. IONIS-PKKRx, NTLA-2002, garadacimab, KVD824, ALN-F12, and PHA-022121 are novel drugs in the therapeutic armamentarium. Gene therapy offers a new ray of hope as it has shown promising results in patients with HAE.[8]
Molecular analysis is not mandatory for all patients with HAE. However, it may be helpful for family screening, prenatal diagnosis, infancy, and pregnancy, as complementary studies are not reliable during the 1st year of life and during pregnancy.[7] Whole-exome sequencing is potentially more cost-effective than sequencing individual genes, with accurate detection of single-nucleotide variants and small insertions and/or deletions.
Key note
A similar case of HAE in the twins’ elder brother, successfully managed with tranexamic acid, was previously published in this journal.
CONCLUSION
Concurrent presentation of HAE in twins is rarely documented. Limited awareness and restricted diagnostic access often contribute to delayed recognition. Twins, in our case, inherited a deficiency most likely as an autosomal dominant trait from their father, who also had symptoms of HAE. Lack of awareness and diagnostic facilities has resulted in misdiagnosis or delayed diagnosis of HAE. Measurement of serum C4 and C1-INH continues to be the primary diagnostic approach. Whenever possible, mutation analysis should be done. The siblings had a novel pathogenic variant of the SERPING1 gene. Tranexamic acid is a safe and effective alternative treatment for short-term and long-term prophylaxis in children with HAE.
Ethical approval:
The Institutional Review Board approval is not required.
Declaration of patient consent:
The authors certify that they have obtained all appropriate patient consent forms. In the form, the patients have given their consent for their images and other clinical information to be reported in the journal. The patients understand that their names and initials will not be published and due efforts will be made to conceal their identity, but anonymity cannot be guaranteed.
Conflicts of interest:
There are no conflicts of interest.
Use of artificial intelligence (AI)-assisted technology for manuscript preparation:
The authors confirm that there was no use of artificial intelligence (AI)-assisted technology for assisting in the writing or editing of the manuscript and no images were manipulated using AI.
Financial support and sponsorship: Nil.
References
- A novel deep intronic SERPING1 variant as a cause of hereditary angioedema due to C1-inhibitor deficiency. Allergol Int. 2020;69:443-9.
- [CrossRef] [PubMed] [Google Scholar]
- Therapeautic modalities of hereditary angioedema: An update In: Phadke SR, ed. Genetics clinics. Lucknow: Indian Academy of Medical Genetics; 2023. p. :8-13.
- [Google Scholar]
- Successful use of tranexamic acid in the management of child having hereditary angioedema-a case report. Indian J Skin Allergy. 2022;1:63-5.
- [CrossRef] [Google Scholar]
- Genetics of hereditary angioedema-a review. J Rare Dis Res Treat. 2017;2:14-9.
- [CrossRef] [Google Scholar]
- Novel SERPING1 gene mutations and clinical experience of type 1 hereditary angioedema from North India. Pediatr Allergy Immunol. 2021;32:599-611.
- [CrossRef] [PubMed] [Google Scholar]
- Management of hereditary angioedema in resource-constrained settings: A consensus statement from Indian subcontinent. Asia Pac Allergy. 2023;13:60-5.
- [CrossRef] [PubMed] [Google Scholar]
- Efficacy of human C1 esterase inhibitor concentrate compared with placebo in acute hereditary angioedema attacks. J Allergy Clin Immunol. 2009;124:801-8.
- [CrossRef] [PubMed] [Google Scholar]
- Hereditary angioedema: Diagnosis, clinical implications, and pathophysiology. Adv Ther. 2023;40:814-27.
- [CrossRef] [PubMed] [Google Scholar]

